Signature Smiles of LA
Sheila Mahooti, DDS
Home
About
Our Doctors
Technology
Practice Photos
Services
View All
General Dentistry
Cosmetic Dentistry
Dental Implants
Invisalign® Clear Aligners
Tooth Extraction
Periodontal Treatment
Teeth Whitening
Composite Fillings & Bonding
Dental Crowns and Bridges
Porcelain Veneers/Lumineers®
Smile Gallery
Patient Info
View Patient Info
Testimonials
Forms
Financial
Specials
FAQs
Blog
Contact
Signature Smiles of LA
Sheila Mahooti, DDS
Book Online
Like us on Facebook
Visit us on Yelp
Watch our Youtube Videos
Leave a Google Review
Instagram
(818) 600-1884
Signature Smiles of LA
Signature Smiles of LA
>
Smile Gallery
>
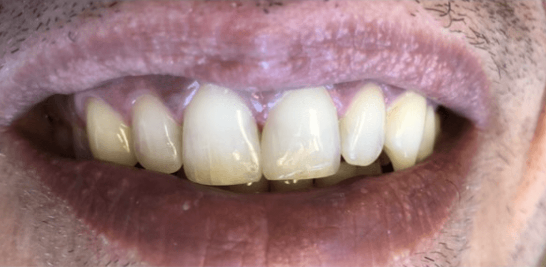
Composite Bindings
Composite Bindings
Return to Smile Gallery
Previous
Related Services:
Composite Fillings & Bonding
Drag the arrows back and forth to view complete Before and After views
Are You Ready to Book Your Next Dental Visit?
Contact Us
If you have difficulty using our website, please
email us
or call us at
(818) 600-1884
View the
ADA Accessibility Statement
Turn on ADA Views
OK!
×
×
Contact Us Today
Give Us A Call
Signature Smiles of LA -
(818) 600-1884
Send Us an Email
Book Online
Contact Us
Ready to Schedule an Appointment?
Book Online
Have Questions? Contact Us:
Required Field
Your Name:
Phone:
Email:
Are you a new patient?:
Are you a?
New Patient
Current Patient
How would you like us to contact you?
Please choose
Email
Call
How did you hear about us?
Please choose
I'm an existing patient
Google/Bing
Mailer
Word of mouth
Social media
Other
Who Referred You?:
Appointment Preferences
Monday
Tuesday
Wednesday
Thursday
Friday
Your Message:
This site is protected by reCAPTCHA and the Google
Privacy Policy
and
Terms of Service
apply.
Sending...
×
This Patient's Experience
Loading Testimonial...
Loading Case...