Signature Smiles of LA
Sheila Mahooti, DDS

Smile Gallery

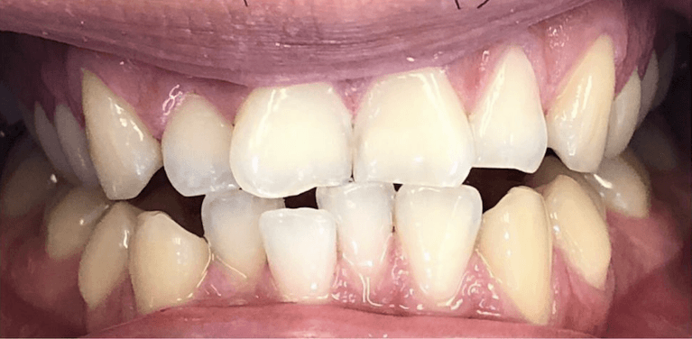
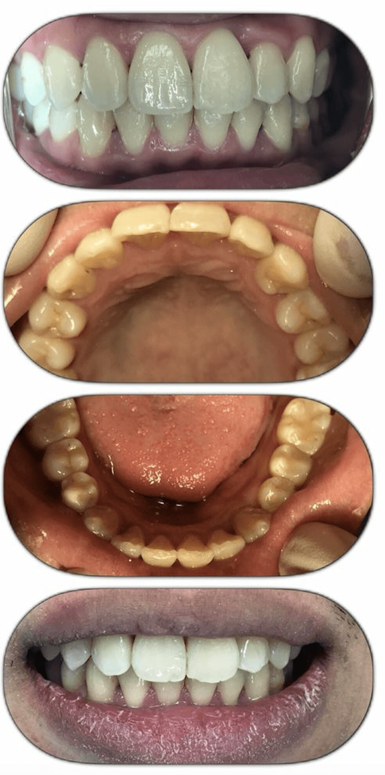
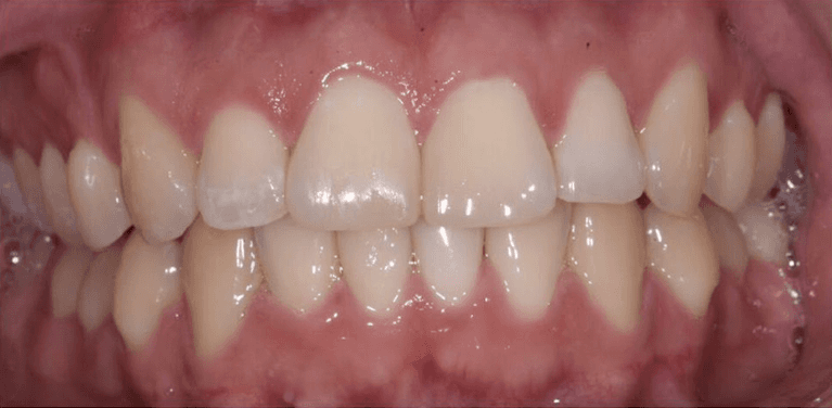
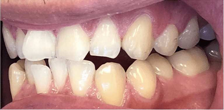
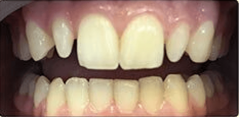
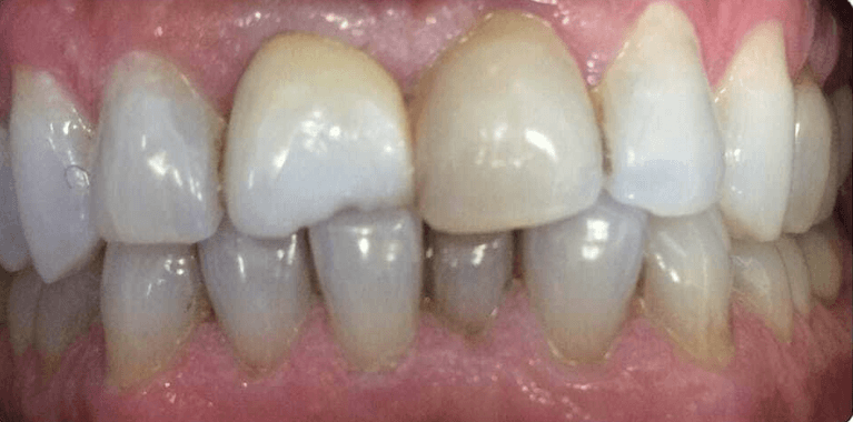
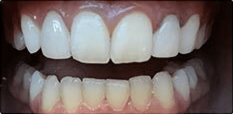
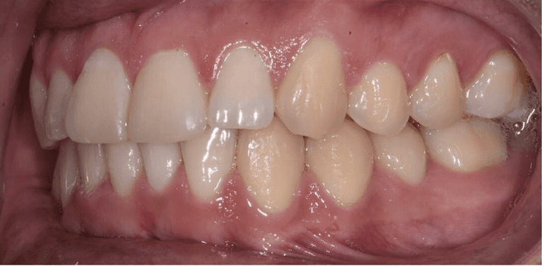
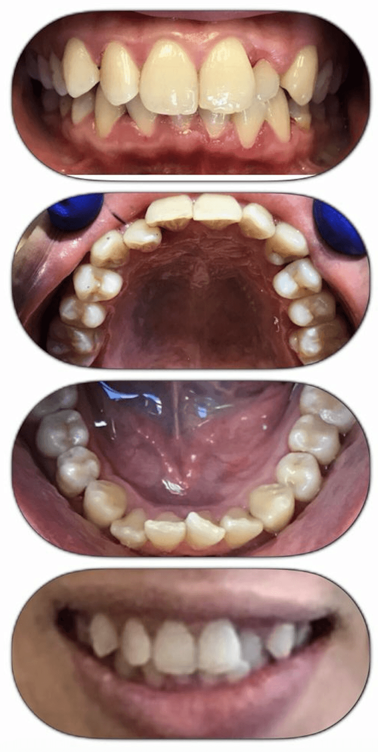
Dr. Sheila Mahooti and our team work together to create dramatic and beautiful smile transformations. Take a look at our gallery of before-and-after photos of actual patients to see what's possible for your smile.

Ready to book an appointment?
A gem of a dental practice, 15/10!

Signature Smiles of Encino is the best dental experience I have ever had. Each treatment I have had there - from cleanings to fillings to Invisalign appointments - has been thorough, kind, transparent on pricing and PAINLESS. A gem of a dental practice, 15/10!

-Jessica

If you have difficulty using our website, please email us or call us at (818) 600-1884
View the ADA Accessibility Statement