Signature Smiles of LA
Sheila Mahooti, DDS

Composite Bondings

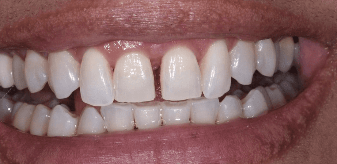
Composite Bonding – Before & After

This patient had small chips and uneven edges affecting their front teeth. With precise composite bonding, we restored shape and symmetry for a smooth, natural-looking finish. The result is a subtle yet impactful smile enhancement completed in just one visit.

Related Services:

Composite Fillings & Bonding
Before composite bondings, encino ca After composite bondings, encino ca
Composite Bonding fixed my gap!
Ready to book an appointment?
If you have difficulty using our website, please email us or call us at (818) 600-1884
View the ADA Accessibility Statement