Dr. Sheila Mahooti and our team at Signature Smiles of LA work together to create dramatic and beautiful smile transformations. Take a look at our gallery of before-and-after photos of our real-life Encino dental patients to see what's possible for your smile.
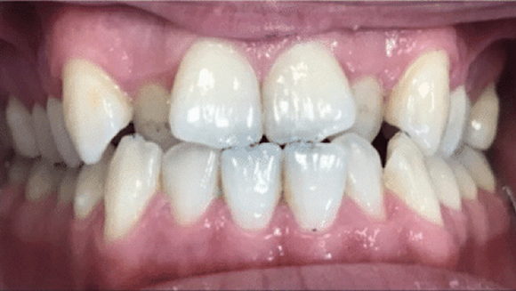
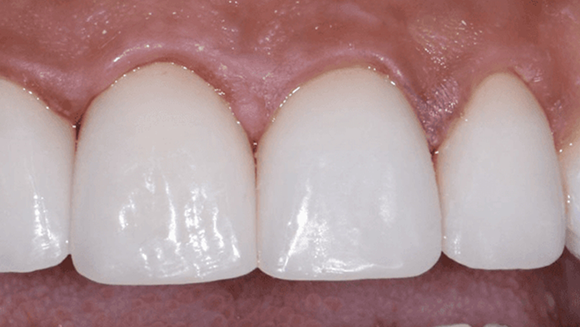
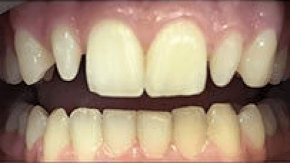
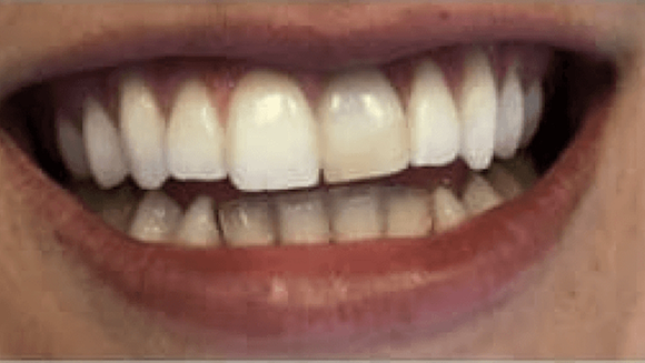
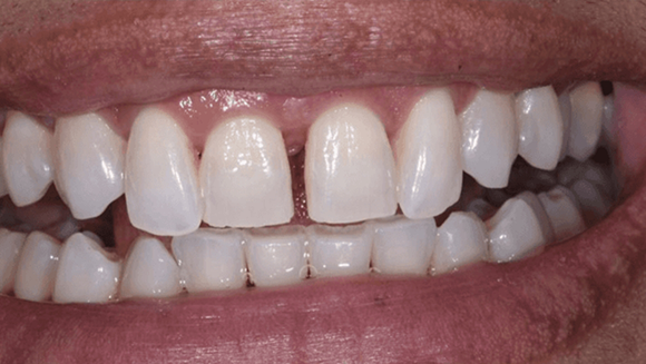
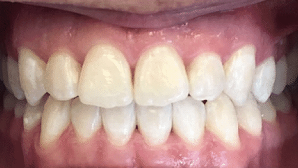
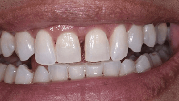
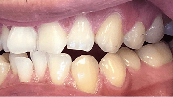
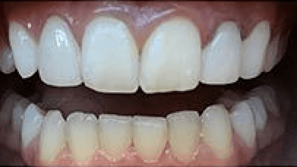
Two Porcelain Veneers
This patient wanted to correct the shape and color of their two front teeth. With carefully crafted porcelain veneers, we achieved a seamless, natural look that blends perfectly with their surrounding teeth—resulting in a beautifully enhanced yet subtle smile transformation.
Two Porcelain Veneers on the Front Teeth
Porcelain Veneers/Lumineers®
Drag the arrows back and forth to view complete Before and After views
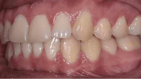
Veneers
Veneers on Two Side Teeth
Veneers – Before & After
Drag the arrows back and forth to view complete Before and After views
Veneers
Veneers on Two Side Teeth
Veneers – Before & After
Drag the arrows back and forth to view complete Before and After views
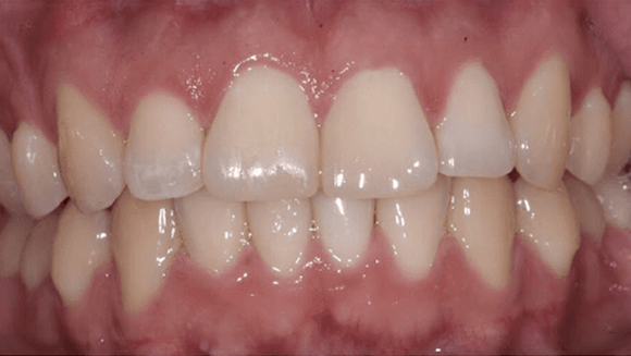
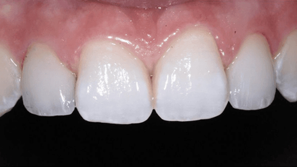
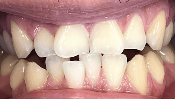
Composite Bondings
This patient had small chips and uneven edges affecting their front teeth. With precise composite bonding, we restored shape and symmetry for a smooth, natural-looking finish. The result is a subtle yet impactful smile enhancement completed in just one visit.
Composite Bonding
Composite Bonding – Before & After
Drag the arrows back and forth to view complete Before and After views
Composite Bondings
Composite Bondings
Composite Bondings – Before & After
Drag the arrows back and forth to view complete Before and After views
Composite Bondings
Composite Bondings
Composite Bondings – Before & After
Drag the arrows back and forth to view complete Before and After views
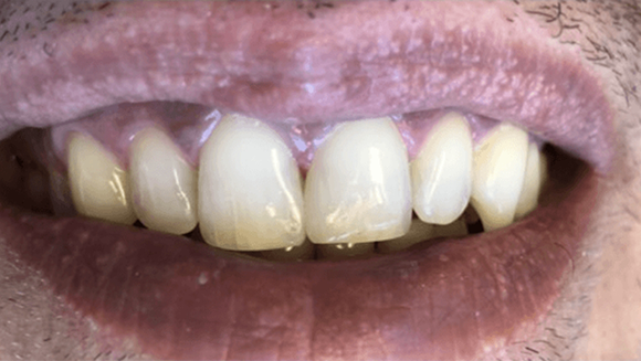
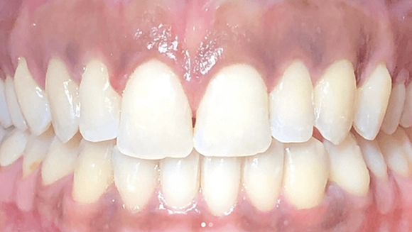
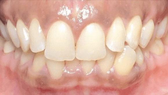
Four Front Veneers
This patient wanted to enhance the shape and brightness of their front teeth. With four custom-crafted porcelain veneers, we created a more balanced, whiter, and natural-looking smile. The transformation is subtle yet striking—bringing harmony and confidence back to their smile.
Four Front Veneers
Four Front Veneers – Before & After
Drag the arrows back and forth to view complete Before and After views
Four Front Veneers
Four Front Veneers
Four Front Veneers – Before & After
Drag the arrows back and forth to view complete Before and After views
Four Front Veneers
Four Front Veneers
Four Front Veneers – Before & After
Drag the arrows back and forth to view complete Before and After views
Invisalign
This patient came to us with crowding and misalignment that affected both function and appearance. With a customized Invisalign treatment plan, we gently straightened their teeth over time—resulting in a more balanced, confident smile without the need for traditional braces.
Invisalign
Invisalign – Before & After
Drag the arrows back and forth to view complete Before and After views
Invisalign and Bondings
Invisalign and Bondings
Invisalign – Before & After
Drag the arrows back and forth to view complete Before and After views
Invisalign
Invisalign
Invisalign – Before & After
Drag the arrows back and forth to view complete Before and After views
Invisalign
Invisalign
Invisalign – Before & After
Drag the arrows back and forth to view complete Before and After views
Invisalign
Invisalign
Invisalign – Before & After
Drag the arrows back and forth to view complete Before and After views
Invisalign
Invisalign
Invisalign – Before & After
Drag the arrows back and forth to view complete Before and After views
Invisalign
Invisalign
Invisalign – Before & After
Drag the arrows back and forth to view complete Before and After views
Invisalign
Invisalign
Invisalign – Before & After
Drag the arrows back and forth to view complete Before and After views
Porcelain Veneers
Porcelain Veneers
Porcelain Veneers – Before & After
Drag the arrows back and forth to view complete Before and After views
Porcelain Veneers
Porcelain Veneers
Porcelain Veneers – Before & After
Drag the arrows back and forth to view complete Before and After views
Porcelain Veneers
Porcelain Veneers
Porcelain Veneers – Before & After
Drag the arrows back and forth to view complete Before and After views
Porcelain Veneers
Porcelain Veneers
Porcelain Veneers – Before & After
Drag the arrows back and forth to view complete Before and After views
Veneers & Crowns
Veneers Crowns
Veneers Crowns – Before & After
Drag the arrows back and forth to view complete Before and After views
Veneers Crowns
Veneers Crowns
Veneers Crowns – Before & After
Drag the arrows back and forth to view complete Before and After views
Veneers Crowns
Veneers Crowns
Veneers Crowns – Before & After
Drag the arrows back and forth to view complete Before and After views